您好:西安医学院附属汉江医院!
                    
                   当前位置:首页 - 科室动态 - 胃肠道不适,咱还有更好的无创方法追根溯源
 
 
胃肠道不适,咱还有更好的无创方法追根溯源
我院影像科胃肠快速充盈低张CT、MR检查技术应用

科室动态  加入时间:2019/2/1 16:53:41      点击:3257
    小肠、结肠,由于其路径长,走行迂曲,其疾病的检查一直是医生探寻的重点及难点。目前,常用的各种检查技术,如胃肠道造影、纤维胃肠镜、胶囊内镜等,大多只是观察管腔内病变,对管壁及壁外改变,缺乏有效观察。
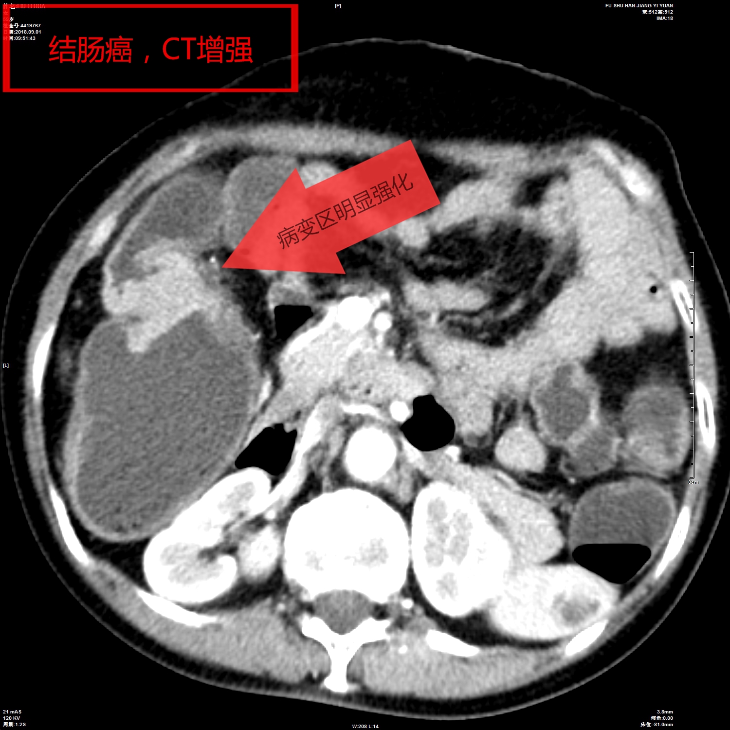
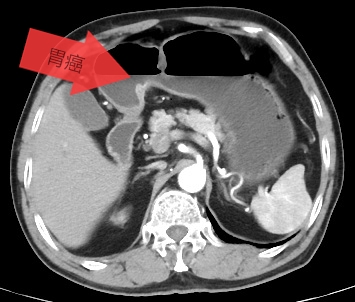
    我院影像科从2018年开始,利用CT、MR分辨率高、成像方法多的特点,开展胃肠快速充盈低张CT、MR检查技术,通过多序列、多窗位、多方位检查,对肠壁、及其腔内腔外病变连续观察,取得了很好的检查诊断效果。检查技术成熟安全、无创,确诊了多例胃癌、胃息肉、结肠癌、肠先天性发育旋转不良等胃肠道疾病,并对肿瘤的转移及周围结构进行评估,为患者进一步综合治疗,打下了坚实的基础。
胶囊内镜检查具有移动的不可控性,常规消化道纤维内镜存在视野局限、有创,通过障碍无法评估腔外解剖与病变,对通过障碍的病灶仅能显示病变近端,然而胃肠道快速充盈低张影像检查技术具有无创、反复观察、定位准确的优势。它可通过充分的肠道准备,虚拟内镜及多方位重建,可从任意角度和方式对病灶进行观察,并能从狭窄、梗阻处两端观察肠腔的解剖和病变,可靠的显示了病变部位和范围,同时提供腔内外的情况并能对淋巴转移、血管癌栓、远处转移进行评估。
胃肠道快速充盈低张CT、MR检查技术,安全、无创、准确,弥补了内镜的不足;拓展了影像科的诊疗项目;提高了诊断水平和符合率;为胃肠疾病的检查提供了很好的选项。(影像科 文/图 段军杉)
影像图片(一)
影像图片(二)