您好:西安医学院附属汉江医院!
                    
                   当前位置:首页 - 科室动态 - 我院骨科成功开展首例关节镜下骨折复位内固定术
 
 
我院骨科成功开展首例关节镜下骨折复位内固定术
 

科室动态  加入时间:2016/6/10 10:53:52      点击:3500
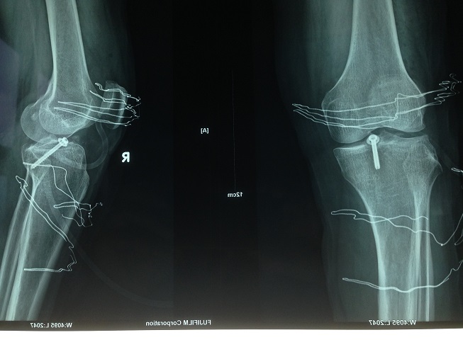
    5月23日,我院成功开展首例关节镜全镜下骨折复位内固定术,该患者女性,45岁,车祸致右侧胫骨平台髁间嵴骨折。传统的手术方式切开复位,手术创伤大,影响美观,术后恢复期长,关节功能差。经过术前反复研究学习膝关节模型,进行充分的术前准备,成功在硬外麻醉关节镜下完成该病人骨折复位内固定术,手术顺利,术后患者恢复良好,该手术成功开展成功标志我院关节微创治疗技术上了一个新的台阶。
    关节镜基本原理是用“圆珠笔”粗细的棒状关节镜镜头插入关节腔,通过棒内类似“手电筒”照亮关节,同时棒内的摄像头将关节内影像映射到外部的显示器上。通过该技术,医生不打开关节就可以观查到关节内的各种结构和病变,并可在关节镜监控下治疗骨性关节炎、滑膜炎、创伤性关节炎、类风湿性关节炎、结核、化脓性关节炎、剥脱性骨软骨炎、髌骨软化症、骨刺、游离体、滑膜皱壁、半月板损伤、关节囊粘连、十字交叉韧带损伤、关节内骨折、关节囊肿、肩脱位、肩周炎及各种不明原因的关节疼痛等关节疾病。    
   关节镜手术具有以下优点:1.真正的微创手术,切口小,愈后美观。2.诊断更明确,手术更精细,安全性更高。手术效果明显优于传统手术。3.组织损伤少,术后恢复快,通常第二天就可以行走和生活自理。4.住院时间短,医疗总费用降低。5.肩、膝、肘、踝、髋等关节均适用。 关节镜手术作为一种微创手术,目前已经成为关节外科领域最为理想的诊断与治疗方式。
2014年我院归属西安医学院管理,借助学校平台,我院诊疗水平大幅提升,特别是微创技术得到快速发展。2016年,在院领导大力支持下我院又引进了目前最先进的德国“狼牌”关节镜,前期安排医院骨干到西京医院、西安交通大学第二附属医院、河南省骨科医院等知名三甲医院进修学习,掌握相关技术,为手术的成功开展提供了有力的保证。该技术的成功开展,弥补了我院关节镜手术的空白,也为周边群众就医带来了方便,充分体现了我院腔镜诊疗水平迈上新台阶!
术前患者CT三维重建
患者术中体位
术中操作
镜下骨折复位
术后患者DR片